부분교정문의드립니다.
페이지 정보
작성자 임명희 (223.♡.192.132) 작성일26-04-24 12:24 조회7회 댓글0건관련링크
본문
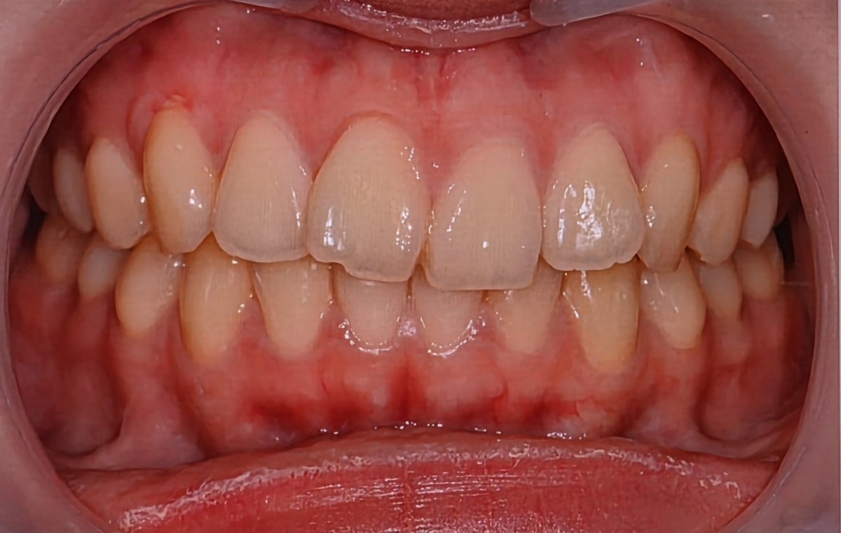
앞니만 부분교정 원합니다.
기간과 비용, 어떻게 진행되는지 알고싶습니다.
유지장치도 설측장치로 교정후 하는지 궁금합니다
기간과 비용, 어떻게 진행되는지 알고싶습니다.
유지장치도 설측장치로 교정후 하는지 궁금합니다


