Re: 충치 치료 문의드립니다.
페이지 정보
작성자 주상돈 (1.♡.236.30) 작성일26-02-05 08:01 조회17회 댓글0건관련링크
본문
안녕하세요?
대구예스타치과 주상돈박사입니다.
충치치료에 관해서 몇가지 궁금하점 정리해서 답변을 드립니다.
1. 현재 어금니, 앞니 포함 충치가 꽤 많다는 건강검진 결과를 받고 치료를 하고자 찾던중 평이 좋아 예약을 하고자합니다. > >
-> 예, 감사합니다.
2. 예약을 어느 카테고리로 해야할까요? > >
-> CAD CAM 보철치료로 하시면 될것 같아요. 충치치료는 충치범위, 위치등에 따라서 치료방법이 달라지게 됩니다. 혹은 전화 719-3345로 주셔서 충치치료 예약을 하신다고
하면 담당 코디네이터께서 진료예약을 도와드릴것입니다.
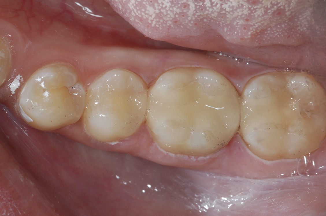
충치치료는 충치가 적은 경우, 간단히 복합레진충전으로 치료를 하지만
충치가 치아옆면을 포함하거나, 광범위한 경우 과거엔 금니로 치료를 하였지만, 예스타치과에서는 치아와 유사한 세라믹 재료로 컴퓨터 디자인, 로봇으로 밀링을 하고 당일로
접착을 해서 치료를 마무리하게 됩니다.(참고로 복합레진 충전은 15-10만원, 세라믹의 경우 48만원입니다.)



3. 그리고 치료 진행시 물방울레이저로만 진행되는지 일반 드릴과 겸하는지 가격은 치아 1개당 어느정도로 책정될지 궁금합니다. > >
-> 충치치료의 경우 일반 드릴로 치료를 하게 되며 치료비용은 앞서서 말씀드린봐와 같습니다.
물방울레이저로 충치치료는 충치가 아주 적은 초등학생의 경우 물방울레이저로 사용하지만 성인의 경우 일반드릴로 치료를 진행합니다.
감사합니다.


