Re: 잇몸성형
페이지 정보
작성자 주상돈 (1.♡.236.30) 작성일26-01-25 15:07 조회25회 댓글0건관련링크
본문
안녕하세요?
대구예스타 치과 주상돈박사입니다.
예, 잇몸성형 비용에 대해서 궁금하신것 같습니다. 잇몸성형은 특히, 웃을때 많은 영향을 미치는 치료로서 경험이 많고 전문적인 치과에서 치료하시는것이
안전합니다.
잇몸성형은 단순히 잇몸만 성형하는것이 아니라 하부 치조골까지 같이 성형을 하게 됩니다. 잇몸성형(치조골성형술 포함)후 일상생활에 큰 지장은 없습니다.
비용은 잇몸성형(하부 치조골 변연부위성형술 포함)은 77만원입니다.(부가세 포함)
잇몸성형술 후 치조골상부까지 성형이 필요하면 99만원입니다.
감사합니다.
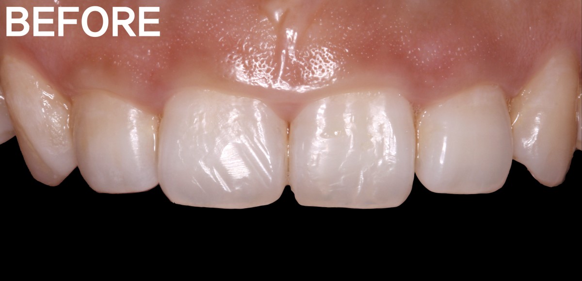
아래는 잇몸성형술 임상예입니다.
아래는 잇몸성형술 및 치조골 상부 성형술포함입니다.

> > > 웃을때 잇몸도 많이보이고 예쁘지않아서 위 앞니4개만 하고싶은데 비용이 어떻게 되나요? > >


