Re: 바로 밑에앞니 부분교정 글 쓴
페이지 정보
작성자 주상돈 (1.♡.236.30) 작성일26-01-17 07:43 조회5회 댓글0건관련링크
본문
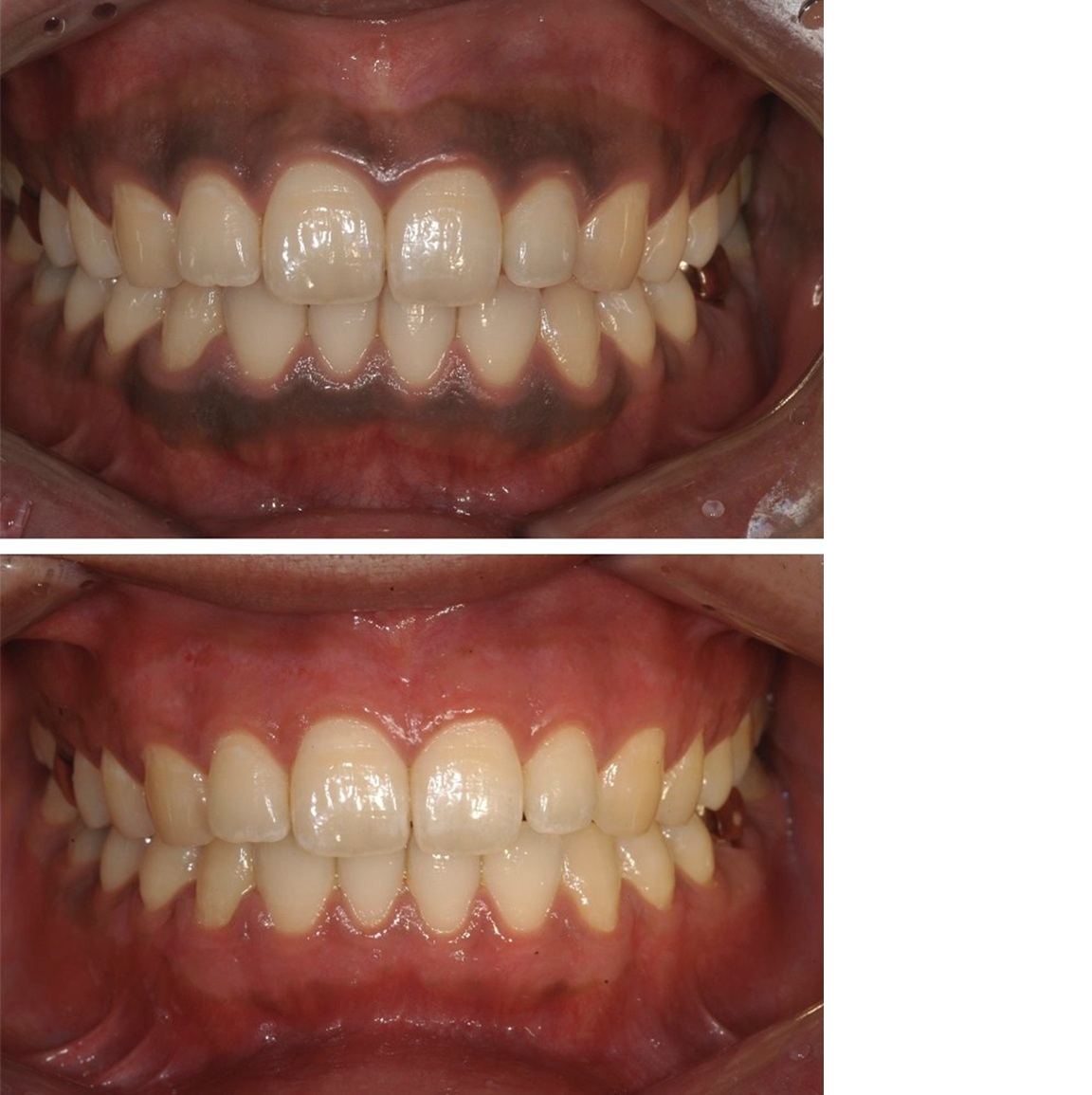
아예, 지금사진이 훨 낫군요.
치은성형보다는 잇몸미백치료를 하면 더 자연스러울것 같습니다.
잇몸미백은 물방울레이저로 시술하며 시술시간은 악당 20분정도 소요되며, 시술후 일상생활에 큰 지장은 없습니다.
시술비는 부가세 포함해서 44만원 비용이 듭니다.
감사합니다.

> > > 사진상 잇몸은 안보여서 다시 올려요! > >



